Biopsia Urologica

Biopsia Urologica

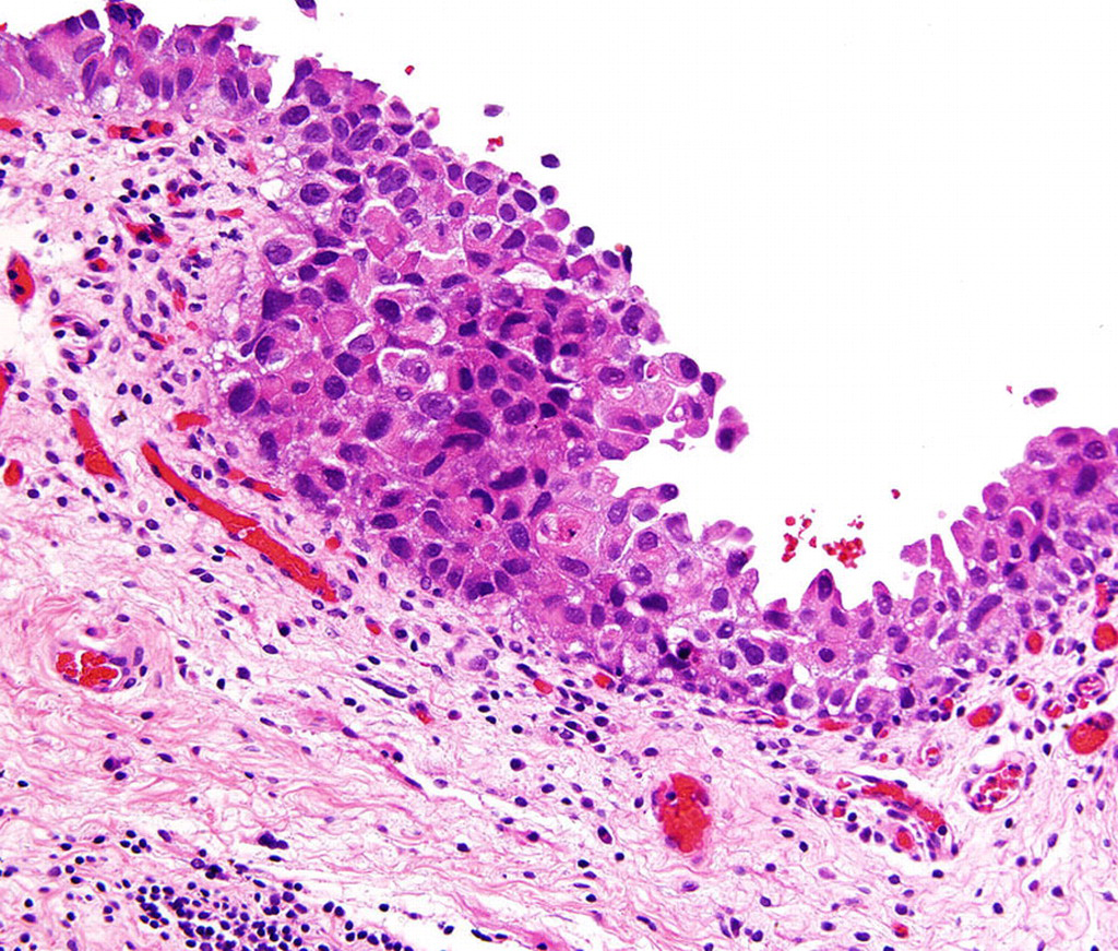
Si tratta del prelevamento di tessuto della parete delle vie urinarie (uretere, vescica ed uretra) atto a stabilire la presenza di patologie infiammatorie, pre-neoplastiche (lesioni lichenoidi, ertitro-leucoplachia, ecc.) e/o neoplastiche oltre che per valutare l’efficacia di una terapia pregressa e/o in  atto.