Biopsia Cutanea

Biopsia Cutanea

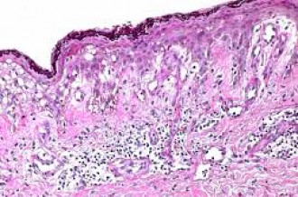
Il prelevamento mirato di una parte di cute (pelle) consente di studiare la natura della lesione e stabilire se si tratta di patologia malformativa (angioma, ecc.), infiammatoria (lichen, ecc.), autoimmune (psoriasi, ecc.), allergica (rush, ecc.), infettiva (pomfo, pemfigo, vescicola, ecc.), pre-neoplastica (lesione attinica, ecc.), neoplastica dell’epidermide (basalioma, ecc.) o di pertinenza melanocitaria (melanoma, ecc.), oltre che di una eventuale natura metastatica.

Le biopsie incisionali ripetute consentono di stabilire l’efficacia di una terapia pregressa e/o in atto.